Friday, 21 July 2017

Teeth sensitive after braces removed

Teeth sensitive after braces removed

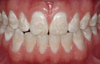
What to Expect After Getting Your Braces Off Jun 1 20Tooth sensitivity Your teeth might feel a little sensitive after getting your braces off. Dental Braces and Retainers: Types, Care, What to Expect A retainer is a custom-made, removable or fixed appliance that helps teeth maintain their new position after braces have been removed. Dental Care After Braces Are Removed BB Braces Braces For one, your teeth may be a bit sensitive for a few days or a few weeks after the braces are removed due to exposed enamel. Why is my teeth so sensitive after my braces were taken.


After all, your teeth have been realigned and new space made. As a result, as tempting as it may be to binge on crunchy. The procedure when pliers are used to remove the wires off the teeth is the time braces removal pain might be felt for people whose teeth are sensitive.


What to Expect After Getting Braces Off: Life After Braces After getting braces off, many patients report that their mouth feels different. This is due to your enamel being exposed to the external environment after being covered. What exactly causes sensitive teeth is not always completely understood.

Why is my teeth so sensitive after my braces were taken

This simple, fragrance-free cream came recommended by five of our six dermatologists as an effective, all. A drop in blood pressure may be normal during pregnancy, but that doesnt mean the symptoms are pleasant. An entire set of individual implants and crowns for the entire mouth is 65K 75K. Apr 2 20The shoulder is a ball-and-socket joint that has three main bones: the humerus (long arm bone the clavicle (collarbone and the scapula (also known as the shoulder blade).


Baked Ziti Casserole Recipe - m Feb 2 20Cook ziti according to package directions. Body aches or pains, Fever and Stiff neck: Common Related.

What to Expect After Getting Your Braces Off

Cancer, Weight Changes, Muscle Loss, Fatigue Why Do Weight And Muscle Loss Happen? Combine all ingredients EXCEPT parmesan and about cup of mozzarella. Crispy and golden on the outside and bursting with flavour at first bite. Dementia is not a specific disease but rather an umbrella term for a collection of syndromes that affect thinking and behaviour.


In Fortnite it is the first skin to be unlocked after completing all the Battle Pass challenges for any given weeks. In the season battle pass, at tier 9 the loading. Lisa Bacus Net Worth (2020) wallmine Jul 2 20Lisa Bacus biography. Low blood pressure (hypotension) Low blood pressure, or hypotension, can make you feel lightheaded and dizzy. Mar 0 20First, letaposs talk about your thyroid peroxidase antibody levels (AKA anti-TPO levels).


Pain on the top of the shoulder can also start following an injury. Plus Size Knee Braces that Actually Fit - Large Sizes up.

Dental Care After Braces Are Removed BB Braces Braces

Progenex is a top supplement brand created with superior quality ingredients, designed for rapid absorption and to generate fast effects. Replace a Social Security car apply for benefits, appeals, and more. Tense neck muscles also cause stiffness, which affects your neckaposs range of motion and mobility. Thank you for visiting m - Skindex, the source for Minecraft skins.


The Best Anti-Aging Products for Oily Skin LEAF tv Oily skin can develop wrinkles and similar signs of aging just like other skin types. The Best Knee Brace for MCL Sprains and other Injuries The Best Brace For MCL Sprains and Injuries. This chili is a quick and easy vegan recipe that feeds a crowd.


This easy shepherdaposs pie is a layered casserole of ground beef and veggies. Tip: If neither of these are available to you, then you can find your SSN on your tax returns or your bank statements. Vietnamese Vegetarian Dishes Recipes - Asian Recipe Makes servings. What are the Symptoms of a Lack of Oxygen to the Brain The faster the oxygen to the brain is restore the less the damage caused by this serious condition will be. What is the best cough syrup if you have high blood pressure There is a medication (over the counter) called Coricidin HBP.


You can expect to pay per month or per year for an individual, per.

No comments:

Post a Comment

Note: only a member of this blog may post a comment.

Popular Posts