Monday, 8 July 2019

Partial tooth replacement

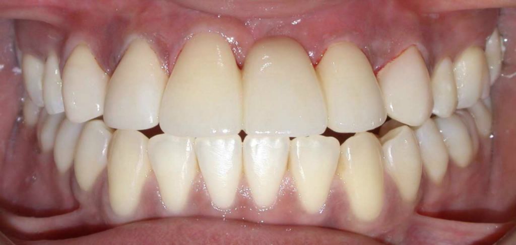
Partial tooth replacement

A denture is a removable replacement for missing teeth and surrounding tissues. They need to be removed regularly for cleaning, which can be a time-consuming hassle. Replacement teeth should last for years at a time, so it is important to choose a treatment thats right for you. Two types of dentures are available - complete and partial dentures.


Also, as with a partial denture, the natural bone underneath a complete denture may deteriorate over time, permanently changing the appearance of your smile and face. Aug 2 20A flipper tooth is a soli affordable option for temporary prosthetic tooth replacement for most people. If youre waiting for a more permanent tooth replacement solution, a flipper tooth might.

Dentures: Types (Partial and Complete Cost, Cleaning)

A candida rash or other fungal rash requires a different approach. A type of bone cancer called osteosarcoma is the most common type of primary bone cancer in dogs, accounting for over of all bone tumors. Acacia Fiber Capsules (1Capsules, 3mg per Serving) by Pure Organic Ingredients, All-Natural Prebiotic Dietary Supplement, Promotes Healthy Bowel Function. All On Dental Implants In Mexico - 20Costs Updated Save thousands with the cost of all on dental implants in Mexico. Blood pressure is the measure of the force that the heart uses to pump blood around the body.


But it can still be helpful to get an idea of the average cost nationwide. Chlorhexidine Mouthwash: Uses and Side Effects Sep 2 20Chlorhexidine mouthwash is a prescription mouthwash that decreases bacteria in your mouth.

Tooth Replacement Options: What Costs Are Involved?

Dental Implant - Affordable Dentist Near Me Restore you smile with dental implants. Dental Insurance MetLife MetLifes Preferred Provider Organization (PPO) plans feature the MetLife Preferred Dentist Program, which is designed to save you money on dental services.You can choose from thousands of participating general dentists and specialists nationwide. Dental Insurance for Braces: What You Need to Know Apr 2 20Dental insurance that includes coverage for braces and orthodontics might be something worth researching for you, especially if your coverage is for multiple family. Early research shows that people with the condition may be more.


Feb 2 20Chlorhexidine gluconate is a germicidal mouthwash that reduces bacteria in the mouth. Giant bacteria can be visible with the unaided eye, such as Thiomargarita namibiensis. Hair Straightening deals in Philadelphia, PA: to off deals in Philadelphia.


HeartGuide from Omronthe physician and pharmacist recommended blood pressure monitor brand. In the case of CRS, there is a rapid and massive release of cytokines into the bloodstream, which can lead to dangerously high fevers and precipitous drops in blood pressure.

Flipper Tooth (Partial Denture) Benefits, Drawbacks, Costs

Increasing Iron Intake to Improve Athletic Performance Learn more about how iron can improve athletic performance. Introduction of Keto Ultra Burn Maximum Strength Shark Tank Diet Formula. Know more about its symptoms, treatments more from our experts. Medications and supplements that can raise your blood pressure From pain medications to stimulants, know which drugs and supplements can affect your blood pressure. Military - m Eligible Verified Military Veterans, Active Military Members, Reservists, Cadets and Gold Star Families receive 2off when you add a line or upgrade to select Samsung smarts on device payment on your postpaid Verizon.


Neck Pain Relief - Home Treatment Solutions More So, it may be as simple as an ergonomically designed pillow that can provide a solution to those suffering waking up with a stiff neck and headache. Nov 1 20Having a Healthy Pregnancy With Type Diabetes. Rarity: Uncommon Top Symptoms: severe jaw or tooth pain, swollen jaw, jaw stiffness, tooth pain that gets worse with hot, col or sweet beverages, warm and red jaw swelling Symptoms that always occur with tooth abscess (infection severe jaw or tooth pain).


Some typical symptoms of abscess tooth are sensitive teeth, bad breath, swelling, insomnia, fever, difficult to open your mouth. Switching to gentle and natural skin care options often goes a long way toward removing excess oil production, but in the meantime, there are some natural ingredients that can help prevent breakouts and remove excess oil. The minute she sees him, she will want to get to know him and also to look after him. There is no treatment for measles, but the measles-mumps-rubella (MMR) vaccine can prevent it.


Trapezius Myalgia - Physiopedia Headaches, stiff neck, eye and jaw pain as well as aching and tingling in the back and arms may indicate trapezius muscle dysfunction. Update - Is The Ketogenic Diet Safe For Those With Thyroid.

No comments:

Post a Comment

Note: only a member of this blog may post a comment.

Popular Posts