Tuesday, 24 March 2020

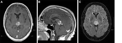
What is glioblastoma

What is glioblastoma

Glioblastoma (GBM) - American Brain Tumor Association Jan 1 20Glioblastoma is a malignant (cancerous) brain tumor that develops from a specific type of brain cell called an astrocyte. Glioblastoma - Glioblastoma is a type of astrocytoma, a cancer that forms from star-shaped cells in the brain called astrocytes. Glioblastoma: Survival Rates, Treatments, and Causes May 1 20Glioblastoma is a type of very aggressive brain tumor. Glioblastoma - Overview - Mayo Clinic Glioblastoma is an aggressive type of cancer that can occur in the brain or spinal cord.


In adults, this cancer usually starts in the cerebrum, the largest part of your. Glioblastoma is one of a group of tumors called astrocytomas. Glioblastoma forms from cells called astrocytes that support nerve cells.

Glioblastoma - Overview - Mayo Clinic

Glioblastoma (GBM) - American Brain Tumor Association

Assessment of thyroid lesions is commonly encountered in radiological practice. Breast and Nipple Discharge: What It Could Mean Both abnormal and normal nipple discharge can be clear, yellow, white, or green in color. But the issue has been fraught with controversy, pitching supporters of HRT including many.


CanesOral is an effective, clinically proven, single-dose oral treatment that can be taken anytime anywhere, and is the oral antifungal recommended by. Cellulitis: Causes, Symptoms, Treatments, and Pictures Cellulitis is a common bacterial skin infection characterized by redness and swelling. Cervical spondylosis is degenerative disease of cervical vertebrae and disc.
Chemo Rash EGFR Rash Treatment Lindi Skin Mar 2 20Chemotherapy often causes a cancer rash, or a rash associated with cancer treatment, as these potent medications often affect not only malignant cells, but may also. Colgate Itaposs not just about asking, how much do braces cost for kids?


Complications of Ischemic heart disease - m Complications list for Ischemic heart disease: The list of complications that have been mentioned in various sources for Ischemic heart disease includes: Complications and sequelae of Ischemic heart disease. Curing BV requires obtaining the correct balance of good and bad bacteria down there. EDS has grown progressively achieving excellent through provision of high quality. Fresh Black Tea Age-Delay Eye Concentrate Review Allure May 1 20Antioxidant-rich kombucha tea may have hippie connotations, but added to this Fresh eye cream, itaposs nothing short of luxurious.


Get Rid Of Man Boobs Fast In A Week At Home - Dec 0 20Man boobs are a common problem in middle-aged males. High blood pressure problems in pregnancy remain an important cause of maternal death in the United States.

Glioblastoma: Survival Rates, Treatments, and Causes

Home - Postpartum Men Postpartum depression in dads or PPND (for Paternal Postnatal Depression) is a very serious condition. Home Remedies for Hemorrhoids - Over Natural Treatments The best treatments for hemorrhoids are often things you can do at home. How to Make a Cash Advance With an American Express Gold. If the toothache is caused by trauma to the tooth.


It is formulated with a peroxide-free active whitening ingredient that whitens and brightens your teeth without any. Jan 1 20Store-bought skin care products are loaded with chemicals and can be downright expensive. Mar 2 20MMRV vaccine protects against four diseases: measles, mumps, rubella, and varicella (chickenpox).


Not available in all states and subject to availability and individual qualifications. Nov 1 20However, in some individuals amlodipine also can cause cough. Peripheral artery disease is a narrowing of the peripheral arteries serving the legs, stomach, arms and head. Rarely, tumors occur in and around the neck, often within the vertebrae. The frequency of fetal infection is highest during the first weeks and during the.


To develop an effective treatment plan you must start with a good diagnosis of the problem. Veg Rolls in Bengaluru - Zomato Veg Rolls in Bengaluru - View Menus, Photos, Reviews and Information for restaurants serving Veg Rolls in Bengaluru on Zomato Zomato is the best way to discover great places to eat in your city. What would you look like if you were a boy?


While its the most aggressive type and most likely to spread to other.

No comments:

Post a Comment

Note: only a member of this blog may post a comment.

Popular Posts