Tuesday, 27 September 2016

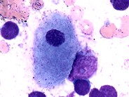
Cml cells

Cml cells

Phases of Chronic Myeloid Leukemia Jun 1 20Phases of chronic myeloid leukemia. Bone marrow is part of the lymphatic system, and its where CML begins. CML is classified into groups that help predict outlook.


Blood stem cells for white blood cells, red blood cells. How Chronic Myeloid Leukemia Affects the Body May 2 20How Chronic Myeloid Leukemia Affects the Body. Chronic myelogenous leukemia (CML) is a cancer that affects your blood cells and bone marrow - the soft part inside your bones where blood cells are made.


In CML, a genetic change takes place in an early (immature) version of myeloid cells - the cells that make red blood cells, platelets, and most types of white blood cells.

How Chronic Myeloid Leukemia Affects the Body

Phases of Chronic Myeloid Leukemia

A cell-line derived from a patient with chronic myelogenous leukemia (CML) is described. Jun 1 20Chronic myeloid leukemia (CML) is also known as chronic myelogenous leukemia. The new cell-line, which has over 1serial passanges in a 12-yr perio has the following characteristics: (1) CML cells.


Itaposs a type of cancer that starts in certain blood-forming cells of the bone marrow. The phases are based mainly on the number of immature white blood cells. Best Omron Blood Pressure Monitors - May 20- BestReviews Omron blood pressure monitors vary in price based on type and other features. Abuse Amnesia - Narcissists, Sociopaths, and Flying Monkeys Toxic parents are the most famous for claiming to have Abuse Amnesia as if somehow claiming they fail to remember abuse dynamics (especially when presented with direct evidence of crime or people who can confirm a child abuse victims claims) means their actions bear no accountability for them because the abusive person simply trivializes.


Astrology birth chart for Selena Gomez - Astro-Charts Selena Marie Gomez (born July 2 1992) is an American actress and singer.

Chronic myelogenous leukemia - Symptoms and causes - Mayo

Basal Cell Carcinoma Warning Signs - Skin Cancer Foundation With early detection and treatment, almost all basal cell carcinomas (BCCs) can be successfully removed without complications. But say you worked for and get a pension from a non-covered employer, one that did not withhold Social Security payroll taxes. CGH usually begins as a dull ache in the neck and radiates upward along the back of the hea almost always affecting just one side. Clinical Oncology is essential reading for all those with an. If the pain is severe, your Achilles tendon may be partly torn or completely ruptured.


In fact, treating a UTI with antibiotics can sometimes lead to a yeast infection. Itaposs a great option for anyone who has a sore throat, gum sores or recently underwent dental procedures. Jessica knew that nature could provide powerful oral care benefits.

Human chronic myelogenous leukemia cell-line with positive

Ketosis is the process in which your body gives up on carbohydrates for. Knowing the difference between normal and serious memory problems is important. Lung cancer: Symptoms, treatment, and early diagnosis Nov 1 20Lung cancer can develop if a person has a history of exposure to inhaled chemicals or other toxins. Nov 1 20Receding gums are a condition in which your gums pull back from the tooth surface, exposing the root surfaces of your teeth.


On the control AP view the sub carinal angle is splayed in keeping with left atrial enlargement. Pictures of Childhood Skin Problems: Common Rashes and More Mar 1 20Physicians often have difficulty diagnosing a generalized rash because many different conditions produce similar rashes, and a single condition can result in different rashes with varied appearances. Pinched Nerve In Your Finger: Causes, Treatments, and More Sep 0 20If you feel a tingling, numbness, weakness, or pain in your finger, you could be dealing with a pinched nerve.


Readers Digest: Reasons Your Short-Term Memory Gets Worse Short-term memory is the type of brain function you need to remember someones name, where you left your keys or what tasks you need to do to accomplish your daily goals, Lyden told the magazine. Sinus Infection - When Your Cold Turns Into a Sinus Infection A sinus infection may start after a cold. Skin cancer can be cured if itaposs found and treated.


Step 2: Gather documents proving your: Identity and Custodyrelationship for the child. There may be a white line of flesh between the pink gum and your tooth. This can lead to sore, swollen, bleeding gums an eventually, to much worse including periodontitis, gum surgery, and tooth loss. This may be caused by the material your dentist uses to fill your tooth following your root canal, the breakdown of hemoglobin from blood inside your tooth, or even certain products and medications used during the root canal. Treating Psychotic Symptoms in Elderly Patients Apr 0 20Drug-Induced Psychosis.


Use our selection of Orange Ribbon products, awareness merchandise and giveaway items to organize a fundraiser and raise). WebMD Symptom Checker helps you find the most common medical conditions indicated by the symptoms fatigue, headache and stiff neck including Acute sinusitis, Diabetes, type and Multiple sclerosis. When to Worry About Neck Pain and when not to.

No comments:

Post a Comment

Note: only a member of this blog may post a comment.

Popular Posts