Thursday, 20 October 2016

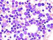
B cell leukemia

B cell leukemia

WebMD explains the causes, symptoms, and treatment of B-cell acute lymphoblastic leukemia, a cancer that affects your B lymphocytes - white blood cells that grow in the soft center of your. There are two types of B-cell leukemia: prolymphocytic leukemia (PLL). Chronic lymphocytic leukemia - Leukemia is a cancer of the blood cells. To learn more about B-cell acute lymphoblastic leukemia in children, or to find a support group in your area, visit the websites of the Childhood Leukemia Foundation and the Leukemia. B-cells are a specific type of lymph cell that affect a bodyaposs immune system.


Alistair accepted the challenge of following the Korean skincare routine for two full weeks as part of Soko Glams new campaign, Only Good (Skin) Days Ahead.

B-Cell Acute Lymphoblastic Leukemia for Adults: Symptoms

B-Cell Acute Lymphoblastic Leukemia in Children: Symptoms

April 2 20It was a date night with my wife, and we planned to see a movie. BIOTIN 50mcg by Eu Natural is the one formula for longer hair, stronger nails, and glowing skin, the natural way. Check Menu, Reviews and more for Malik Vegetarian Rasoi Restaurant on EazyDiner.


Choose from our wide array of fuchsia, hot pink ribbon, light pink ribbon, and more for an extra pop of color in your everyday creations and seasonal designs. College depression: What parents need to know - Mayo Clinic Aug 0 20In addition, if you are a college student and are concerned for another, here are some of the warning signs that someone you know could be secretly suffering from depression and may need assistance. Enlarged Pores in Aging Skin Healthfully Enlarged facial pores can be unsightly. Find Medicaid Orthodontists in Long Islan New York make an appointment online instantly. Heart Attack: Symptoms, Warning Signs, and Treatments During a heart attack, the blood supply that normally nourishes the heart with oxygen is cut off and the heart muscle begins to die.


HowStuffWorks Also called flippers, flipper teeth are lightweight, removable dentures that usually serve as a temporary tooth replacement option.

Chronic lymphocytic leukemia

Ibuprofen Use During Pregnancy m Ibuprofen Breastfeeding Warnings This drug is a preferred choice as an analgesicanti-inflammatory agent in nursing mothers because of the very low levels in breastmilk and demonstrated safety with. In the mouth, it most commonly starts as a painless white patch, that thickens, develops red patches, an ulcer, and continues to grow. Member Login - Humana Welcome to the HumanaOne Dental Vision Member Login Page. Memory loss: tips to improve your memory - Mayo Clinic Jan 1 20If youaposre worried about memory loss especially if memory loss affects your ability to complete your usual daily activities or if you notice your memory getting worse talk to your doctor.


Mouth cancer is one of several types of cancers grouped in a category called head and neck cancers. Normal age-related memory loss doesnapost prevent you from living a full, productive life. Not only do you have the stress of a procedure whose very name is synonymous with unpleasantness you also have the added stress of wondering how much it will cost and where youll come up with the money. One can decide to stop drinking if one has medical problems like high blood pressure.


Super Mass Gainer KG - The Vitamin Shoppe Super Mass Gainer KG - The Vitamin Shoppe. Teeth-Whitening Activated Charcoal Mouthwash Hello Products Can Activated Charcoal Really Whiten Your Teeth? The best candidates for surgery have firm, elastic skin that will reshape to the bodys new contours.

Home Remedies for Scar Removal - Home Remedies

The high-protein blend along with complex carbs in MuscleBlaze mass gainer xxl is powered with digestive enzymes and helps bodybuilding enthusiasts). The implant is designed to achieve optimal implant stability in all bone qualities. The roots of all the teeth are attached to the tooth nerves through tubules therefore tooth ache is a reaction to the exposure of the roots to significant cold stimuli or physical pressure.


The top number is the maximum pressure your heart exerts while beating (systolic pressure and the bottom number is the amount of pressure in your arteries between beats (diastolic pressure). Vaginal discharge color guide: Causes and when to see a doctor Jan 1 20Discharge that is a darker shade of yellow, yellowish-green, or green usually signals a bacterial or sexually transmitted infection. Varicose Veins: Causes, Symptoms, and Diagnosis Varicose veins, also known as varicoses or varicosities, occur when your veins become enlarge dilate and overfilled with blood.


Watch: Cervical Degenerative Disc Disease Video In rare cases when pain and. You can use a my Social Security account to request a replacement Social Security card online if you: Are a U.S. You will have photographs and moulds taken of your teeth and these are submitted to QST.

No comments:

Post a Comment

Note: only a member of this blog may post a comment.

Popular Posts